مقدمه
یکی از مشکلات ناباروری در زنان اندومتریوز است .اندومتریوز یک اختلال است که باعث میشود بافتی شبیه به اندومتر در خارج از رحم درمناطقی مانند تخمدانها، لولههای فالوپ، شکم و روده رشد کند. این عارضه بر عملکرد سیستم تولیدمثل خانم تکامل جنین و قابلیت لانهگزینی تاثیر منفی گذاشته و موجب ناباروری و سقط خودبهخودی می گردد، همچنین این افراد در معرض خطر بالایی از عوارض مامایی نظیر زایمان زودرس، خونریزی قبل از زایمان، پرهاکلامپسی و سزارین میباشند (۱). درمان موجب بهتر شدن و بالا رفتن کیفیت زندگی این افراد میشود. روشهای دارویی و جراحی کنترل کننده هستند اما با عوارض و عود مجدد بیماری همراه است. برای درمان قطعی اندومتریوز و پیشگیری از عود مجدد بیماری باشند، همچنین بالا بردن قدرت باروری بیمار، نیاز جدی به داروهای موثر است. با توجه به اهمیت نقش تغذیه و مواد طبیعی در پیشگیری و درمان بیماریها و عوارض جانبی بسیار کم، تقاضا برای طب سنتی در کشورهای توسعه یافته، به سرعت رو به افزایش است و هرساله تعداد زیادی از ترکیبات فیتوشیمیایی به منظور کاربردهای درمانی جدید با هدف ارتقا سلامت و کاهش سمیت و عوارض جانبی مورد بررسی قرار میگیرد (۲). در مطالعات اخیر که توسط دکتر کیانی و همکارانشان انجام شده است، تعدادی ترکیبات فیتوشیمیایی شناسایی شدهاند که در بهبود اندومتریوز مفید است که شامل اپی گالوتچین، جنیستین، 4 -هیدروکسی بنزیل الکل و زانتومول میباشد. اینها با اثر چندجانبه بر روی مکانسیم سلولی متعددی نظیر تکثیر، مهاجرت، آپوپتوز تاثیر میگذارد (۳). روند درمان و کنترل بیماری در حال حاضر با جراحی و دارو است که عوارضی در پی دارد که امکان استفاده طولانیمدت دارو و جراحیهای متعدد میسر نیست و امکان عود مجدد را بههمراه دارد برای افرادیکه به دنبال درمان نازایی هستند کاربرد ندارد. در زمینه الگوریتم درمانی در زنان جوان و نوجوان، روشهای مداخلهای برای پیشگیری از اندومتریوز، مداخلات تغذیهای و سبک زندگی، روشهای استاندارد طولانیمدت برای پیشگیری از عود مجدد اندومتریوز نیاز به تحقیق داشته و شواهد بسیار کمی در این رابطه وجود دارد (۳,۴). این مطالعه با هدف بررسی اثر عصاره کل Calligonum comosum (CCTE) بر بارداری و میزان تولد زنده در مدل موشهای مبتلا به اندومتریوز انجام گرفته است. با توجه به شایع بودن و پرهزینه بودن بیماری اندومتریوز و همچنین نبود درمان قطعی و نیاز ضرروی به تشخیص و درمان بهموقع نیاز به پژوهش و مطالعات بیشتر در این زمینه میتواند کمک شایانی به ارتقا سلامت زنان و بهبود کیفیت زندگی آنان و همچنین کمک به بالا بردن میزان باروری با رفع اندومتریوز گردد، و میتوان آن را در مراقبتهای بهداشتی اولیه کشور که برنامه موفقی میتواند باشد قرار داد. در مطالعهای توسط دکتر کیانی و همکارانشان (۳) صورت گرفته، نشان داده شده است که عصاره کامل گیاه کالیگونوم کوموزوم به میزان قابلتوجهی رشد ضایعه، تشکیل کیست، میزان عروق، تکثیر سلولها و میزان تجمع سلولهای ایمنی در ضایعات اندومتریوزی موش را کاهش داده و مهار میکند، اما در رابطه با میزان باروری و تولد زنده موشهای اندومتریوز تحت درمان با عصاره اسکنبیل مطالعه و تحقیقی صورت نگرفته بود هدف این مطالعه بررسی رابطه بین درمان اندومتریوز با عصاره اسکنبیل و تاثیر این عصاره بر میزان باروری و وضعیت جنینهای حاصل می باشد.
روش بررسی
در این مطالعه از عصاره گیاهی اسکنبیل با نام علمی L’Her Calligonum comosum درختچهای به ارتفاع ۱۷۵ سانتیمتر و حداکثر دو متر، بسیار منشعب، بند بند و نازک هستند. ساقههای جوان شیاردار و به رنگ سبز کلمی میباشند. این گیاه در هرباریوم باغ گیاهشناسی کاشان با شماره هرباریومی KBGH 1101 ثبت شده است. برای عصارهگیری از گیاه، نمونه جمعآوری شده پس از انتقال به آزمایشگاه، در شرایط سایه، به مدت چهار هفته به طور کامل خشک شدند. پودر خشک شده گیاه، با اتانول 70% سه مرتبه و با حداقل فاصله سه روز یکبار و بر روی ۵۰ گرم از بخشهای مختلف گیاه خیسانده شدند. برای تغلیظ و خشک نمودن عصاره تهیه شده از دستگاه روتاری و آون تحت خلا استفاده گردید (۳). این مطالعه یک بررسی تجربی و حیوانی است و به ۲۴ موش ماده با سن دو ماه، سویه NMRI، که از انستیتو پاستور خریداری شدند نیاز داشتیم، این حجم نمونه با توجه به مطالعه قبلی (کیانی و همکاران) انتخاب گردید(۳). موشها در محیطی با درجه حرارت و رطوبت مناسب و رعایت سیکل تاریکی و روشنایی و کاهش صدای محیط قرار گرفتند و دسترسی به آب و غذای تمیز داشتند و یک هفته برای خو گرفتن و عادت به محیط تا زمان جراحی و القا مدل فرصت داده شد. برای القا اندومتریوز بایستی از موشهای سالم که عملکرد تخمدانی و فعالیت دورهای جنسی دارند، استفاده شد. به روش اسمیر واژینال موشهایی که در فاز استروس هستند انتخاب شده ،محیط استریل شده و با کتامین –زایلازین (کتامین دوز ۸۵ میلیگرم بر کیلوگرم –زایلازین دوز ۱۵ میلیگرم بر کیلوگرم) موشها بیهوش شدند. شکم از ۰.۵تا ۱سانتیمتری بالای واژن به صورت طولی برش خورده و با مشاهده شاخ رحمی، شاخ رحمی سمت چپ برداشته شده و در محیط کشت قرار داده شد. شاخ رحمی بهصورت طولی برش داده شد و با پانچ بیوبسی به قطعات دو میلیمتری تقسیم شدند. به تعداد چهار عدد از قطعات دو میلیمتری به دیواره ی شکمی سمت راست موش پیوند خورد (شکل 1). یک روز بعداز پیوند به جهت اطمینان از پیوند تصویر برداری اولتراسوند انجام شد. موش های مدل بهصورت تصادفی به دو گروه درمان و کنترل تقسیم شدند.گروه درمان دوز ۵۰ میلیگرم بر کیلوگرم عصاره کالیگونوم کوموزوم (با توجه به دوز یابی که در مطالعه دکتر کیانی انجام گرفته بود استفاده شد (۳)، گروه کنترل هم نرمال سالین دریافت کردند. درمان به مدت چهار هفته ادامه داشت، پس از آن دو موش ماده با یک نر به جهت بررسی بارداری هم قفس شدند. با مشاهده پلاگ واژینال اولین روز بارداری محسوب شد و موشهای باردار در قفسهای جداگانهای قرار گرفتند. در صورتیکه پلاگ واژینال مشاهده شده بود اما بارداری اتفاق نیفتاده بود موشهای غیر باردار از باردار جدا شدند. پس از پایان بارداری، تعداد و سایز ضایعات توسط کالیبر دیجیتال اندازهگیری شد و همچنین برای مطالعات بافتشناسی ضایعات اندومتریوزی، رحم و تخمدان در فرمالین فیکس شدند. شاخصهای رشد نوزادان (قد، وزن، دور سر) نیز اندازهگیری شدند.
تجزیه و تحلیل آماری
تجزیه و تحلیل آماری با استفاده از version 16 SPSS انجام میشود. متغیرهای پیوسته بهعنوان انحراف معیار ± میانگین و متغیرهای طبقهای بهصورت تعداد (درصد) بیان شد. نرمال بودن متغیرهای بررسی شده با آزمون Kolmogorov-Smirnov چک شد. پس از آن، از آزمون تی تست مستقل در صورت نرمال بودن و منویتنی در صورت غیرنرمال بودن، بین گروههای مطالعه استفاده گردید (P<0.05) از نظر آماری معنادار در نظر گرفته شد.
الزامات قبل از القای مدل: برای شناسایی مشکلات بالقوه که موجب افزایش خطر بیهوشی میگردد، معاینه فیزیکی حیوانات قبل جراحی انجام شد. برای کاهش عوارض بیهوشی حیوانات قبل از جراحی، ناشتا بودند. قبل از بیهوشی به منظور کاهش مقادیر داروی بیهوشی و پیشگیری از ایجاد حساسیت سیستم عصبی مرکزی از ضد دردها استفاده شد. عمل جراحی با بهکارگیری بیحسی موضعی و یا بیهوشی عمومی مناسب انجام شده و عمق بیهوشی، عملکرد دستگاه قلبی- عروقی، تنفسی و نیز کاهش دمای بدن در حین جراحی پایش گردید. اعمال بیهوشی و انجام جراحی با نظارت و کمک کارکنان توانمند آموزش دیده و با تجربه صورت پذیرفت.
نتایج
نتایج میزان بارداری: میزان بارداری در موشهای مدل اندومتریوز تحت درمان با عصاره اسکنبیل در مقایسه با گروه درمان، بیش از دو برابر افزایش نشان داد و در گروه مدل اندومتریوز تحت درمان با اسکنبیل میزان بارداری 66/7% و میزان بارداری در گروه کنترل ۲۵% بود (P<0.05) (نمودار 1).
نتایج میزان تولد زنده: نتایج حاصل از میزان تولد زنده نیز، با توجه به نرخ بالای بارداری در گروه تحت درمان نسبت به گروه کنترل تفاوت معنیداری داشت و میزان تولد زنده در گروه درمان بیشتر از گروه کنترل بود ( P<0.05) (نمودار 2).
نتایج بافتشناسی ضایعات اندومتریوزی: در مقایسه بافتشناسی ضایعات اندومتریوزی در موشهای مدل اندومتریوز باردار تحت درمان با عصاره اسکنبیل با موشهای باردار گروه کنترل. ضایعات در گروه درمان با پسرفت و تخریب همراه بوده است (شکل 2).
نتایج سایز ضایعات اندومتریوزی: در مقایسه سایز ضایعات اندومتریوزی در موشهای مدل اندومتریوز باردار تحت درمان با عصاره اسکنبیل با موشهای باردار گروه کنترل، تفاوت معنیداری بین دو گروه وجود دارد (P<0.05). در گروه تحت درمان سایز ضایعات اندومتریوزی کاهش داشت و این امر تاثیر مثبت عصاره اسکنبیل بر سایز ضایعات را نشان میدهد (نمودار ۳).
نتایج تعداد ضایعات اندومتریوز بین دو گروه: همچنین در مقایسه تعداد ضایعات اندومتریوزی در موشهای مدل اندومتریوز باردار تحت درمان با عصاره اسکنبیل با موشهای باردارگروه کنترل، تفاوت معنیدار بوده و در گروه تحت درمان با اسکنبیل (کالیگونوم)، تعداد ضایعات کاهش نشان داده است (نمودار 4).
نتایج بافتشناسی ضخامت اندومتر: در بافتشناسی ضخامت اندومتر در گروه کنترل 412/3 میکرومتر است که این ضخامت، نشان دهنده رشد زیاد اندومتریوم است که باعث ایجاد علائم شدیدتری از اندومتریوز می شود (شکل۳). اما گروه تحت درمان ضخامت اندومتریوم 363/3 میکرومتر را دارد و تاثیر دارو و همچنین کاهش علائم اندومتریوز و لانهگزینی بهتر جنین را نشان میدهد. این تفاوت بین دو گروه معنی دار( P<0.05) بوده است (نمودار 5).
نتایج هیستوپاتولوژی تخمدان: نتایج حاصل از مطالعه هیستوپاتولوژی تخمدان (شکل۴) نشان داد که در مقایسه بین تعداد فولیکولها، در تخمدان موشهای مدل اندومتریوز باردار تحت درمان با عصاره اسکنبیل با موشهای باردار گروه کنترل، تعداد فولیکولهای اولیه در گروه تحت درمان به نسبت گروه کنترل بیشتر بوده است (نمودار 6).
شاخصهای رشد نوزادان: در مقایسه شاخصهای رشد نوزادان در موشهای مدل اندومتریوز تحت درمان با عصاره اسکنبیل با گروه کنترل (شکل 5 و 6) مشاهده شد که عصاره علاوه بر اینکه تاثیر سوء بر نوزادان و رشد آنها نداشته است. بلکه موجب بهتر شدن شاخصهای رشدی نیز گردیده است و با گروه کنترل تفاوت دارند.
نمودار ۱: مقایسه میزان بارداری در موشهای ماده مدل اندومتریوز تحت درمان با عصاره اسکنبیل با گروه کنترل.
نتایج بهصورت(Mean ± SEM) گزارش شدهاند (P<0.05) *
نمودار۲: مقایسه میزان تولد زنده در موشهای ماده مدل اندومتریوز تحت درمان با عصاره اسکنبیل با گروه کنترل.
نتایج بهصورت(Mean ± SEM) گزارش شدهاند (P<0.05 *)
شکل ۱: ظاهر ماکروسکوپیک ضایعات شبه اندومتریوزی, ۲۸ روز بعد پیوند به دیواره شکمی موشهای سویه NMRI
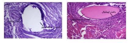
شکل ۲: نمای بافتشناسی ضایعات شبه اندومتریوزی (رنگ آمیزی H&E) در گروه درمان دریافت کننده عصاره تام گیاه اسکنبیل (الف)، در مقایسه با گروه کنترل (ب) دریافت کننده نرمال سالین
نمودار ۳: سایز ضایعات شبه اندومتریوزی(mm2 )پیوند شده به دیواره پریتوئن موشهای سویهNMRI که با استفاده از قطرسنج دیجیتال اندازهگیری شدند، گروه کنترل (ستون سفید، تعدادضایعات بررسی شده = ۱۲)، گروه درمان با اسکنبیل(کالیگونوم)(ستون سیاه، تعداد ضایعات بررسی شده = ۱۲).
نتایج بهصورت (Mean ± SEM)گزارش شدهاند. (P < 0.0001)*
نمودار4: مقایسه تعداد ضایعات شبه اندومتریوزی پیوند شده به دیواره پریتوئن موشهای سویهNMRI ، در( گروه کنترل تعداد = ۱۲) و (گروه دریافتکننده عصاره اسکنبیل(کالیگونوم) تعداد= ۱۲). نتایج بهصورت(Mean ± SEM) گزارش شدهاند P = 0.032)) *.
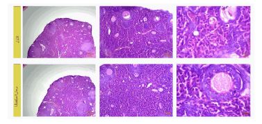
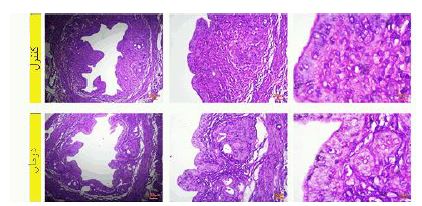
شکل ۳: نمای بافتشناسی اندومتر (رنگ آمیزی H&E) در بزرگنماییهای ۱۰,۵۰,۱۰۰ در دو گروه کنترل و درمان .
نمودار۵: مقایسه ضخامت اندومتر (میکرومتر) بین گروه تحت درمان با عصاره اسکنبیل(کالیگونوم) و گروه کنترل.
نتایج بهصورت(Mean ± SEM) گزارش شدهاند (*P = 0.035).
شکل 4: تصاویر هیستوپاتولوژی تخمدان (رنگ آمیزی H&E) در بزرگنمایی ۱۰,۵۰,۱۰۰ در دو گروه کنترل و تحت درمان با عصاره اسکنبیل

نمودار۶ . مقایسه تعداد فولیکولهای آنترال بین دو گروه تحت درمان با عصاره اسکنبیل (کالیگونوم) در مقایسه با گروه کنترل.
نتایج بهصورت(Mean ± SEM) گزارش شدهاند (*۰.۰۲۱= P)
شکل۵: اندازه گیری شاخصهای رشد نوزادان در گروه تحت درمان با عصاره اسکنبیل
شکل 6: اندازه گیری شاخصهای رشد نوزادان در گروه کنترل
جدول 1: مقایسه شاخصهای رشدی نوزادان متولد شده بین دو گروه دریافت کننده عصاره اسکنبیل (کالیگونوم کوموزوم) و کنترل (میانگین ± خطای استاندارد)
گروههای مطالعه
بحث
این مطالعه با هدف بررسی اثر عصاره کل Calligonum comosum (CCTE) بر باروری و میزان تولد زنده در مدل موشهای مبتلا به اندومتریوز انجام گرفته است و این سوال پیش میآید که آیا این عصاره بر میزان باروری و تولد زنده تاثیر مثبت داشته است ؟ بر اساس یافتههای این پژوهش میتوان گفت که عصاره تام (CCTE) بر بارداری تاثیر مثبت دارد و با فرضیه اولیه پژوهش همسو است. عصاره اسکنبیل با تاثیر بر تعداد و سایز ضایعات اندومتریوزی و بهتر شدن عملکرد رحم وتخمدان موجب بالا رفتن بارداری و تولد زنده شده است عصاره گیاهی اسکنبیل بر درمان اندومتریوز موثر است که این نتایج همسو با مطالعات (کیانی و همکاران) است (۳). این یافته ها نشان میدهند که گیاهان دارویی میتوانند به عنوان یک درمان جایگزین برای افزایش باروری در زنان مبتلا به اندومتریوز مورد استفاده قرار گیرند. یکی از مکانسیمهای مبتلا به اندومتریوز، افزایش التهاب لگن است که یکی از عوامل اصلی ایجاد مشکلات باروری است. این یافتهها با مدل التهابی اندومتریوز که توسط برن و همکاران (۷)، در سال ۱۳۹۴ ارائه شده است همخوانی دارد .این مدل بیان میکند که اندومتریوز باعث کاهش کیفیت تخمکها و اختلال در عملکرد تخمدان میشود و این مدل نشان میدهد که کاهش التهاب لگن میتواند به بهبود باروری در زنان مبتلا به اندومتریوز کمک کند و عصاره تام گیاه کالیگونوم کوموزوم باعث کاهش التهابات شده و موثر بر میزان باروری خواهد بود. همانطور که گفته شد اندومتریوز یکی از شایعترین بیماری های زنان است که براساس آمارها حدود۱۰ الی ۱۵ درصد از زنان سنین باروری را تحت تاثیر قرار میدهد .این بیماری علاوه بر درد شدید لگن و کاهش کیفیت زندگی میتواند باعث ناباروری یا کاهش باروری در زنان شود بر اساس مطالعه محمدی و همکارانش (۸). بین ۲۵ تا ۴۰ درصد از زنان مبتلا به اندومتریوز در ایران نابارور هستند. این مطالعه همچنین نشان داده است که اندومتریوز میتواند بر روان و احساسات زنان تاثیر منفی داشته باشد و باعث افسردگی و اضطراب شود. این مطالعه نشان میدهد که عصاره کالیگونوم کوموزوم با تاثیر بر اندومتریوز بر بهبود و میزان باروری در زنان مبتلا یک درمان امیدوار کننده باشد و این درمان میتواند به کاهش هزینههای درمانی، افزایش شانس بارداری، کاهش عوارض جانبی داروهای شیمیایی و افزایش کیفیت زندگی زنان کمک کند. این درمان همچنین میتواند به حفظ و ارتقای سلامت زنان و جامعه نیز کمک کننده باشد. در مطالعهای که توسط استیلی و همکارانش (۹). در سال ۲۰۰۹ انجام شده است اندومترویوز باعث کاهش تعداد و کیفیت تخمکها میشود و در نتیجه میزان باروری کمتر و همچنین تعداد جنیها با قابلیت تولد زنده نیز کمتر میشود. اما با توجه به نتایج حاصل از این مطالعه، عصاره کالیگونوم کوموزوم موجب بالا رفتن کیفیت و تعداد تخمکها شده و همچنین افزایش فولیکولهای پرهآنترال و داشتن ضخامت مناسب دیواره رحم میزان باروری نیز در گروه درمان بالا رفته است. Calligonum comosum گیاهی است که دارای خاصیت ضدالتهابی است و همچنین در مهار رگزایی موثر است. CCTE رشد و تشکیل کیست، عروق و نفوذ سلولهای ایمنی ضایعات اندومتریوز موش را سرکوب میکند. این اثرات، ممکن است توسط اجزای فیتوشیمیایی موجود در CCTE، مانند فلاونوئیدها (کوئرستین،کامفرولها و کاتچینها) و پلیفنولها (تاننها) (کیانی و همکاران) باشد (۳). دوز۵۰ میلیگرم بر کیلوگرم بهطور موثری مهاجرت سلولی، تشکیل لوله و جوانه زدن را مهار میکند. با توجه به اینکه کالیگونوم کوموزوم (Calligonum comosum) باعث سرکوب رگهای خونی جدید توسط ضایعات میشوند و همچنین رشد ضایعات متوقف میشود در نتیجه تعداد و سایز ضایعات در گروه تحت درمان کاهش یافته و در نتیجه موجب بهبود بارداری با کاهش تعداد ضایعات اندومتریوز خواهد شد. شاخصهای رشد نوزادان در موشهای مدل اندومتریوز تحت درمان با عصاره اسکنبیل با گروه کنترل تفاوت دارد. طبق نتایج بهدست آمده تعداد نوزادان در گروه تحت درمان با عصاره تام اسکنبیل بیشتر از گروه کنترل بود شاخصهای رشدی در گروه درمان بهتر از گروه کنترل بود و این نشان میدهد که عصاره اثر سو بر نوزادان نداشته است. طبق مطالعهای که توسط ظهرابی و همکارانش (۱۰). انجام شده است که با هدف بررسی اثر کوئرستین بر بافت تخمدان موشهای صحرایی ماده نژاد ویستار تحت درمان با سیکلوفسفامید و شاخصهای رشد نوزادان آنها انجام شده است و نشان داده شده است که کوئرستین با افزایش تعداد نوزادن اثرات مثبتی هم بر روی شاخصهای رشدی نوزادان داشته است که با مطالعه حاضر همسو است چرا که اسکنبیل نیز حاوی کوئرستین میباشد. در نهایت این مطالعه به دلیل مطالعه بر روی حیوان محدودیتیهایی دارد که باید در نظر گرفته شود، این مطالعه بر روی مدل حیوانی انجام شده است و باید دید آیا قابل تعمیم به انسان است یا خیر. در این پژوهش از یک روش مدلسازی اندومتریوز استفاده شده است و در مدلهای دیگر ممکن است نتایج متفاوتی ارائه دهد. همچنین سبک زندگی، سن، سابقه بارداری و سلامت زنان در این مطالعه به دلیل محدودیتهای مدل حیوانی بررسی نشده است. پیشنهاد میشود، برای رفع محدودیتهای این پژوهش و افزایش اعتبار و قابلیت تعمیم یافتههای آن به انسان تحقیقات بیشتری انجام شود و بر روی حیوانات بزرگتر مثل بابونها و میمونها انجام شود. پیشنهاد میشود، این پژوهش بر روی باروری به روش لقاح مصنوعی (IVF) در موشهای ماده مدل اندومتریوز و نوزادان آنها مورد بررسی قرار گیرد. پیشنهاد میشود، اثرات عصاره اسکنبیل بر روی سایر شاخصهای بارداری و تولد زنده، طول بارداری، میزان شیر مادر، سلامت مادر و نوزاد پس از زایمان در موش ماده مدل اندومتریوز مورد بررسی قرار گیرد و میتوان اثرات اسکنبیل در ترکیب با داروها یا عصارههای دیگر و تاثیر آن بر اندومتریوز و بارداری در موش ماده مدل اندومتریوز را بررسی کرد. و در نهایت پیشنهاد میشود که این مطالعات وارد فاز کلینکال شده ودرمان و مطالعات روی انسان ادامه پیدا کند.
نتیجهگیری
اندومتریوز یکی از شایعترین بیماریهای زنان است قابلیت باروری زنان را تحت تاثیر قرار میدهد عصاره اسکنبیل با دوز ۵۰ میلیگرم بر کیلوگرم، میتواند یک درمان موثر برای درمان ناباروری شود چرا که باعث بهبود عملکرد تولیدمثل و سلامت تخمدان میشود و موجب کاهش تعداد و سایز ضایعات و همچین مهار اندومتریوز میشود.
سپاسگزاری
این مطالعه طرح تحقیقاتی و دانشجویی با همکاری دانشگاه آزاد هیدج و پژوهشگاه رویان انجام شده است که با تشکر ویژه از دکتر کیاندخت کیانی (عضو هیت علمی پژوهشگاه رویان) به عنوان استاد راهنما که دلسوزانه علم و دانش خود را در این مسیر در اختیار اینجانب گذاشتند و با تشکر از دکتر محمدهادی فکور به عنوان استاد مشاور که در این مسیر همراهی کردند.
حامی مالی: ندارد.
تعارض در منافع: وجود ندارد.
ملاحظات اخلاقی
پروپوزال این تحقیق توسط اخلاق پزشکی پژوهشگاه رویان تایید شده است (کد اخلاق: (IR.ACECR.AEC.1401.060 در این پژوهش از نمونه حیوانی استفاده شده است. بدین وسیله تایید میگردد با آگاهی کامل از راهنمای اخلاق پژوهش بر حیوانات، جنبههای اخلاقی مربوط به بهرهبرداری از حیوانات در پژوهشهای زیستی و پزشکی درنظر گرفته شده است. کلیه روشها مطابق با گایدلاین NIH در مورد مراقبت و استفاده از حیوانات آزمایشگاهی و نیز دستورالعمل کشوری ملاحظات اخلاقی در پژوهشهای حیوانی، صورت پذیرفته است. موارد زیر در این رابطه رعایت شد:
-انتخاب صحیح گونه حیوان برای مطالعه (موش سویه NMRI)
-استفاده از حداقل تعداد ممکن حیوان برای مطالعه
-ضرورت استفاده از حیوانات آزمایشگاهی برای مطالعه و عدم امکان جایگزینی آن با نرم افزارهای کامپیوتری و استفاده از تجارب دیگران
-آموزش لازم برای شناخت زندگی و شرایط فیزیولوژیک حیوان (تغذیه، سلامت، بیماری، ناراحتی و درد و سایر تغییرات فیزیولوژیک و پاتولوژیک حیوان)
-اطلاعات لازم در مورد تاثیر شرایط محیطی بر نتایج آزمایش
- عدم استفاده از حیوانات بیمار در آزمایش
مشارکت نویسندگان
کیاندخت کیانی در ارائه ایده، کیاندخت کیانی و محمد هادی فکور در طراحی مطالعه، پریناز اکبری در جمعآوری دادهها، کیاندخت کیانی، محمد هادی فکور و پریناز اکبری در تجزیه و تحلیل دادهها مشارکت داشته و همه نویسندگان در تدوین، ویرایش اولیه و نهایی مقاله و پاسخگویی به سوالات مرتبط با مقاله سهیم هستند.
6- Kiani K, Rudzitis-Auth J, Scheuer C, Movahedin M, Sadati Lamardi SN, Malekafzali Ardakani H, et al. Calligonum Comosum (Escanbil) Extract Exerts Anti-Angiogenic, Anti-Proliferative and Anti-Inflammatory Effects on Endometriotic Lesions. J Ethnopharmacol 2019; 239: 111918.
7- Hammami R, Riadh H, Farhat I, Imen F, Zouhir A, Abdelmajid Z, et al. Detection and Extraction of Anti-Listeral Compounds from Calligonum Comosum, A Medical Plant from Arid Regions of Tunisia. Afr J Tradit Complement Altern Med 2011; 8(3): 322-7.
8- Malvezzi H, Marengo EB, Podgaec S, Piccinato CA. Endometriosis: Current Challenges in Modeling a Multifactorial Disease of Unknown Etiology. J Transl Med. 2020; 18(1): 311.
9- Stilley JA, Woods-Marshall R, Sutovsky M, Sutovsky P, Sharpe-Timms KL. Reduced Fecundity in Female Rats with Surgically Induced Endometriosis and in their daughters: A Potential Role for Tissue Inhibitors of Metalloprotein. PloS one 2009; 80(4): 649-56.
10- Zahrabi D, Prior K, Santhi R, Nasim Kh. Investigating the Effect of Quercetin on the Ovarian Tissue of Female Wistar Rats Treated with Cyclophosphamide and the Growth Index of Their Newborns. Cell and Tissue 2017; 8(3): 285-93. [Persian].